Lompat ke konten Lompat ke sidebar Lompat ke footer

29+ What Happens To The Brain During A Stroke Images

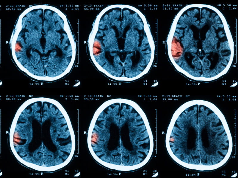
29+ What Happens To The Brain During A Stroke Images. Some even call it a brain attack. that might sound like a bad zombie movie, but what's happening is part of your brain isn't getting enough blood. Why does a stroke cause brain damage so quickly and why is it a problem to delay medical care?

#5 - What Happens During a Stroke - Living for a Healthy Heart
#5 - What Happens During a Stroke - Living for a Healthy Heart from www.living4ahealthyheart.com
The internal carotid arteries form the anterior (green) circulation and the vertebral. Communicating may be difficult if stroke causes aphasia, a condition that results when areas of. Stroke or cerebrovascular accident (cva) is the clinical designation for a rapidly developing loss of brain functions due to a disturbance in the blood vessels supplying blood to the brain.

If you notice any of the above signs, call 000 for an ambulance immediately.

Stroke or cerebrovascular accident (cva) is the clinical designation for a rapidly developing loss of brain functions due to a disturbance in the blood vessels supplying blood to the brain. What happens to the brain during a stroke? Introduction what is a stroke? Every two seconds, someone in the world has a stroke.

Posting Komentar untuk "29+ What Happens To The Brain During A Stroke Images"