Lompat ke konten Lompat ke sidebar Lompat ke footer

21+ Left Frontal Lobe Brain Tumor Pics

21+ Left Frontal Lobe Brain Tumor Pics. Lobes are large areas of your brain that have a. Problems writing, drawing or naming;

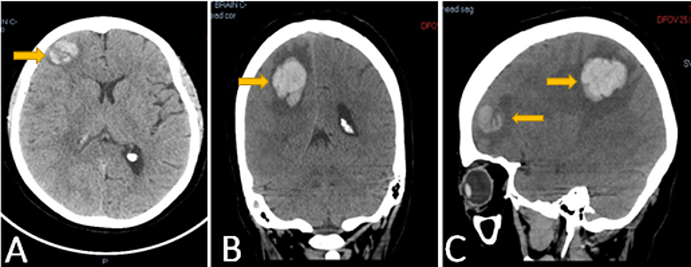
Cureus | A Fatal Case of Large Cell Neuroendocrine Lung ...
Cureus | A Fatal Case of Large Cell Neuroendocrine Lung ... from assets.cureus.com
A complete surgical resection can cure both the tumor and the seizures. Cognitive functions are altered by brain. The frontal lobe is separated from the parietal lobe by a space called the central sulcus, and from the temporal lobe by the lateral sulcus.

The frontal lobes in your brain are vital for many important functions.

The frontal lobes in your brain are vital for many important functions. Relating to voluntary movement, linked to psychiatry : Traumatic brain injury programme online course: Related online courses on physioplus.

Posting Komentar untuk "21+ Left Frontal Lobe Brain Tumor Pics"