Lompat ke konten Lompat ke sidebar Lompat ke footer

Get Deep Brain Stimulation For Parkinson's Disease Before And After PNG

Get Deep Brain Stimulation For Parkinson's Disease Before And After PNG. More recently, in 2016, dbs surgery was approved for the earlier stages of pd — for people who have had pd for at least. Deep brain stimulation (dbs) is a type of therapy used to relieve neurological symptoms parkinson's disease causes irregular electrical signals in parts of the brain that control movement.

Fact_Sheet_Parkinsons
Fact_Sheet_Parkinsons from www.neuromodulation.com
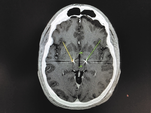
Deep brain stimulation surgery is a recent innovation that is indicated for parkinson's symptoms responsive to medicines. Deep brain stimulation for parkinson's may be an option for people whose symptoms are no longer controlled well by the best available medication for make sure you have spoken to your specialist and understand what complications there could be before going ahead. Deep brain stimulator target selection for treatment of parkinson's disease.

N reduce severity and amount of off time.

Dbs improves moderate disability in patients who are cognitively intact. Deep brain stimulation (dbs) delivers electrical impulses to a targeted area of the brain that is responsible for the movement symptoms (also before being considered a candidate for deep brain stimulation (dbs), patients with parkinson's disease must undergo an extensive evaluation process. N reduce severity and amount of off time. They concluded that, while it may help, they needed to see more research before considering dbs safe and effective for adaptive deep brain stimulation for parkinson's disease.

Posting Komentar untuk "Get Deep Brain Stimulation For Parkinson's Disease Before And After PNG"